절골술

휜 다리로 인한 관절염 치료
절골술(휜 다리 교정술)

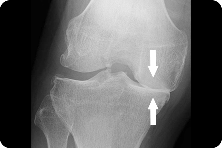
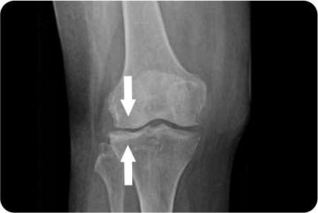
퇴행성관절염으로 연골이 마모되고 관절이 내려앉게 되어
진행된 휜 다리(O 다리, X 다리)를 바르게 교정하여
무릎 내 외측에 집중되어 있는 무게 중심을
고르게 분산시켜 관절염의 진행을 막는 수술법
입니다.

절골술 장점

무릎의 추가적인 변형을 방지하고 퇴행성관절염 증상이 악화되는 것을 예방할 수 있습니다.

치료과정

종아리뼈 일부를 절골한 후, 수술 기구를 이용하여 필요한 각도만큼 뼈를 벌려
금속판과 나사를 이용하여 고정합니다.

해골 이미지

절골술 적용사례

1

무게 중심이 내측으로
쏠려 있는 O다리 수술

경골을 절골하여 원하는 각도로 벌려 무게 중심이
바깥쪽으로 옮겨지도록 교정
합니다. 절골한 부위를
금속판과 나사로 고정해 뼈가 안정적으로 붙도록 합니다.

2

무게 중심이 외측으로
쏠려 있는 X다리 수술

교정 각도를 정밀하게 설계해 수술 계획을 세웁니다.
대퇴골을 절골하여 원하는 각도로 닫거나 벌려
무게 중심이 무릎 안쪽으로 옮겨지도록 교정
합니다.

절골술,
본바움에서 받아야하나요?

절골술은 다리의 뼈를 정밀하게 절개하고 교정하여 무게 중심을 바르게 잡아주는 수술입니다.
이 과정에서 교정 각도와 뼈의 안정성을 정확히 맞추는 섬세한 판단이 필요하기 때문에,
풍부한 경험을 가진 의료진일수록 올바른 정렬과 안정적인 결과를 얻을 수 있습니다.
본바움병원은 수술 경험이 풍부한 전문의가 첨단 장비와 맞춤형 계획을 통해
정밀 교정 절골술을 시행
하여 환자에게 안전하고 믿을 수 있는 치료를 제공합니다.

의료진의 풍부한 경험
+
첨단 수술장비
정확한 진단과 치료 방향을 제시하는 이미지
1

정확한 진단과 치료 방향 제시

경험 많은 의료진이 수많은 사례를 통해
축적된 임상 데이터를 바탕으로,
환자의 증상을 빠르고 정확하게 파악합니다.

고난도 수술에서의 안정성
2

고난도 수술에서의 안정성

척추·관절 수술은 정밀함과 안전성이 필수입니다.
본바움병원 의료진의 경험은 수술 중 발생할 수 있는
다양한 변수에 신속하게 대응할 수 있는 힘이 됩니다.

재수술과 복잡한 케이스 관리
3

재수술과 복잡한 케이스 관리

풍부한 경험을 가진 의료진이 다양한 상황을
접해본 만큼, 재수술이나 복잡한 케이스에서도
최적의 해결책을 제시합니다.

세계적인 수준의 수술장비
4

세계적인 수준의 수술장비

최첨단 수술 장비와 정밀 진단 시스템을 갖추어,
고난도 수술에서도 세계적인 수준의
안전성과 정확성을 보장합니다.

본바움병원은 합니다.

척추·관절 QUICK 케어 이미지
POINT 01

척추·관절 QUICK 케어

척추·관절 치료에서 가장 중요한 것은 ‘때’를 놓치지 않는 것입니다.
본바움병원에서는 하루 안에 검사부터 진단, 그리고 필요한 경우
수술까지 QUICK 하게 이어질 수 있습니다.

최소절개·최소침습 이미지
POINT 02

최소절개·최소침습

풍부한 경험을 가진 의료진이 환자의 부담을 최소화하는 데
집중합니다. 최소절개, 최소통증을 원칙으로 하여 불필요한 상처를
줄이고 회복 속도를 앞당깁니다.

본바움 도수클리닉 이미지
POINT 03

본바움 도수클리닉

치료는 끝이 아니라 새로운 시작입니다. 급성·만성 통증 관리부터
시술·수술 후 재활까지, 본바움 도수운동클리닉은 환자의 몸을 다시
건강하게 세우는 든든한 파트너입니다.

청정 무균수술실 이미지
POINT 04

청정 무균수술실

본바움병원의 수술실은 환자의 안전을 최우선으로 합니다.
헤파필터가 공기 중 미세균을 철저히 차단하고, 최첨단 무균·무진
시설이 수술실 전 구역을 청정하게 유지합니다.

진료안내

02.6354.0100
  • 오전 09:00 ~ 오후 09:00

  • ·

    오전 09:00 ~ 오후 06:00

  • 오전 09:00 ~ 오후 02:00

  • 오후 01:00 ~ 오후 02:00

※ 공휴일은 점심시간 없이 진료

오시는길

서울특별시 은평구 불광로 29, 본바움병원
불광역 7번 출구 바로 앞 11층 건물

SELP-DIAGNOSIS TEST
쉽고 정확하게 체크하는
관절 자가진단

어디가 어떻게 아프세요?
본바움병원에서 쉽고, 정확하게 자신의 관절을
체크할 수 있는 자가 테스트를 진행해 보세요!

무릎 자가진단
어깨 자가진단
발관절 자가진단