본바움병원 외상센터는 어떠한 응급상황에서도 신속하고 적절한 진료를 받을 수 있도록
체계적인 의료 서비스를 제공하고 있으며, 응급환자의 생명과 건강을 보호하는 것을 최우선으로 삼고 있습니다.
타과와의 유기적인 협진 체계를 갖추어 각 과별 임상 전문의와 함께
환자 개인별 증상에 맞는 보다 정확하고 정밀한 진료와 검사를 받을 수 있도록 합니다.
365일 24시간 진료 및 응급 치료실 운영으로
어떤 환자가 내원하더라도 응급진료 및 수술이 가능합니다.
경험이 풍부한 각 분야별 전문의가 상주하여
기능적 복원과 안전한 수술진행이 가능합니다.
365일 24시간 신속한 응급처치와 입원치료가
원스톱 서비스가 가능한 합니다.
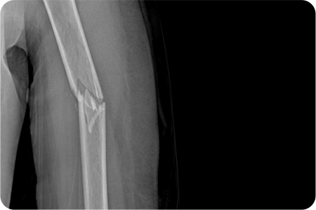
X-ray 및 CT를 통해 골절 형태와 전위 정도를 확인합니다.
골절된 뼈를 원래 위치로 맞추는 정복 작업을 진행합니다.
금속판, 나사, 고정막을 이용해 뼈를 고정합니다.
쇄골 위쪽을 따라 약 5~8cm 정도 절개하여
골절 부위를 노출합니다. 정복과 고정을 시행하고
절개 부위를 봉합합니다. 수술 후 일정 기간 동안
팔의 움직임을 제한해 뼈가 안정적으로 붙도록 합니다.
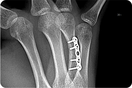
손은 작은 뼈들이 정교하게 연결되어 있어
골절 시 기능 손상이 크기 때문에,
정확한 정복과 고정이 중요합니다.
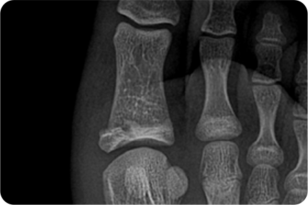
발가락 골절은 대부분 보존적 치료(깁스, 테이핑)로
회복되지만, 골절이 심하거나 뼈가 크게 어긋난 경우,
관절을 침범한 경우, 분쇄 골절에서는 수술이 필요합니다.
골절·외상 수술은 손상된 뼈와 조직을 정밀하게 맞추고 금속판·나사·핀 등을 이용해 안정적으로 고정하는 치료입니다.
이 과정에서 뼈의 정렬과 관절 기능을 회복하기 위한 섬세한 판단이 필요하기 때문에,
풍부한 경험을 가진 의료진일수록 정확한 교정과 빠른 회복을 기대할 수 있습니다.
본바움병원은 수술 경험이 풍부한 전문의가 첨단 장비와 맞춤형 수술 계획을 통해
최소침습·정밀 교정 골절·외상 수술을 시행하여 환자에게 안전하고 믿을 수 있는 치료를 제공합니다.
경험 많은 의료진이 수많은 사례를 통해
축적된 임상 데이터를 바탕으로,
환자의 증상을 빠르고 정확하게 파악합니다.
척추·관절 수술은 정밀함과 안전성이 필수입니다.
본바움병원 의료진의 경험은 수술 중 발생할 수 있는
다양한 변수에 신속하게 대응할 수 있는 힘이 됩니다.
풍부한 경험을 가진 의료진이 다양한 상황을
접해본 만큼, 재수술이나 복잡한 케이스에서도
최적의 해결책을 제시합니다.
최첨단 수술 장비와 정밀 진단 시스템을 갖추어,
고난도 수술에서도 세계적인 수준의
안전성과 정확성을 보장합니다.
오전 09:00 ~ 오후 09:00
오전 09:00 ~ 오후 06:00
오전 09:00 ~ 오후 02:00
오후 01:00 ~ 오후 02:00
※ 공휴일은 점심시간 없이 진료
어디가 어떻게 아프세요?
본바움병원에서 쉽고, 정확하게 자신의 관절을
체크할 수 있는 자가 테스트를 진행해 보세요!