인공관절치환술

마모된 관절을 새로운 관절로 바꿔,
통증 없는 일상으로!

심한 통증을 유발하고 기능을 하지 못하는 파괴된 관절의
일부를 제거하고 인체공학적으로 제작된 인공관절로 대체
하여
관절 운동 기능을 회복하고 통증을 치료하는 수술입니다.
안전성과 내구성이 검증된 최신 인공관절로
오래도록 편안한 움직임을 선사합니다.

인공관절치환술 장점

인공관절 수술은 관절 마모 정도가 심하고 통증이 심한 환자분들은 재활치료나 약물만으로는 치료가 어려운 경우에
정밀검진 및 검사를 통해 관절 손상 정도를 면밀히 파악하고 꼭 필요한 경우에만 수술을 진행합니다.

전치환술 & 부분치환술

인공관절 수술은 손상된 관절면 전체를 제거하고 인공관절을 삽입하는 전치환술과
손상된 관절면만 부분적으로 제거한 뒤 치환하는 부분치환술
이 있습니다.

전치환술
전치환술 관련 이미지
  • 관절염 3기 말, 4기인 경우
  • 전·후방 십자인대가 손상된 경우
  • 오다리, X다리가 심한 경우
  • 비수술적 치료로 증상 호전이 되지 않을 경우
부분치환술
부분치환술 관련 이미지
  • 무릎 내측에만 관절염이 있는 경우
  • 전방십자인대의 기능이 살아있는 경우
  • 다리변형이 10도 이내인 경우
  • 다리 구부리고 펴는 것이 일정각도 이상 가능한 경우
BONE BAUM HOSPITAL

인공관절치환술
적용질환

질환을 클릭하면 상세페이지로 이동합니다.

온라인 상담 받기
해골 이미지

인공관절치환술 적용사례

1

무릎 관절염
인공관절치환술

퇴행성 관절염으로 닳아버린 연골과 변형된
뼈 표면만을 정밀하게 절제합니다.
무릎의 굽힘·펴짐과 안정성을 고려해
인공관절을 삽입, 무릎 중심축을 바로 잡아줍니다.

2

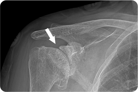
어깨 관절염
인공관절치환술

관절염으로 닳아버린 손상된 연골과 뼈를
정밀하게 절제합니다. 환자의 상태에 따라
전치환술/반치환술 중 선택하여 시행
합니다.

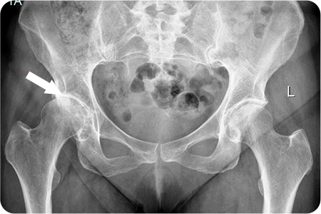
3

고관절 관절염
인공관절치환술

관절염으로 닳아버린 대퇴골두와 관골구를
정밀하게 절제합니다. 다리 길이와 관절 정렬을 맞추고,
움직임이 부드럽고 안정적인지 확인한 뒤 봉합
합니다.

인공관절치환술,
본바움에서 받아야하나요?

인공관절치환술은 손상된 관절을 제거하고 인공관절을 삽입해 통증을 줄이고 움직임을 회복하는 수술입니다.
이 과정에서 관절 정렬과 인대 균형을 맞추는 섬세한 판단이 필요하기 때문에,
풍부한 경험을 가진 의료진일수록 정확한 결과와 장기적인 만족도를 보장할 수 있습니다.
본바움병원은 수술 경험이 풍부한 전문의가 최신 인공관절과 첨단 장비를 이용해
환자 맞춤형 인공관절치환술을 시행
하여 환자에게 안전하고 믿을 수 있는 치료를 제공합니다.

의료진의 풍부한 경험
+
첨단 수술장비
정확한 진단과 치료 방향을 제시하는 이미지
1

정확한 진단과 치료 방향 제시

경험 많은 의료진이 수많은 사례를 통해
축적된 임상 데이터를 바탕으로,
환자의 증상을 빠르고 정확하게 파악합니다.

고난도 수술에서의 안정성
2

고난도 수술에서의 안정성

척추·관절 수술은 정밀함과 안전성이 필수입니다.
본바움병원 의료진의 경험은 수술 중 발생할 수 있는
다양한 변수에 신속하게 대응할 수 있는 힘이 됩니다.

재수술과 복잡한 케이스 관리
3

재수술과 복잡한 케이스 관리

풍부한 경험을 가진 의료진이 다양한 상황을
접해본 만큼, 재수술이나 복잡한 케이스에서도
최적의 해결책을 제시합니다.

세계적인 수준의 수술장비
4

세계적인 수준의 수술장비

최첨단 수술 장비와 정밀 진단 시스템을 갖추어,
고난도 수술에서도 세계적인 수준의
안전성과 정확성을 보장합니다.

본바움병원은 합니다.

척추·관절 QUICK 케어 이미지
POINT 01

척추·관절 QUICK 케어

척추·관절 치료에서 가장 중요한 것은 ‘때’를 놓치지 않는 것입니다.
본바움병원에서는 하루 안에 검사부터 진단, 그리고 필요한 경우
수술까지 QUICK 하게 이어질 수 있습니다.

최소절개·최소침습 이미지
POINT 02

최소절개·최소침습

풍부한 경험을 가진 의료진이 환자의 부담을 최소화하는 데
집중합니다. 최소절개, 최소통증을 원칙으로 하여 불필요한 상처를
줄이고 회복 속도를 앞당깁니다.

본바움 도수클리닉 이미지
POINT 03

본바움 도수클리닉

치료는 끝이 아니라 새로운 시작입니다. 급성·만성 통증 관리부터
시술·수술 후 재활까지, 본바움 도수운동클리닉은 환자의 몸을 다시
건강하게 세우는 든든한 파트너입니다.

청정 무균수술실 이미지
POINT 04

청정 무균수술실

본바움병원의 수술실은 환자의 안전을 최우선으로 합니다.
헤파필터가 공기 중 미세균을 철저히 차단하고, 최첨단 무균·무진
시설이 수술실 전 구역을 청정하게 유지합니다.

진료안내

02.6354.0100
  • 오전 09:00 ~ 오후 09:00

  • ·

    오전 09:00 ~ 오후 06:00

  • 오전 09:00 ~ 오후 02:00

  • 오후 01:00 ~ 오후 02:00

※ 공휴일은 점심시간 없이 진료

오시는길

서울특별시 은평구 불광로 29, 본바움병원
불광역 7번 출구 바로 앞 11층 건물

SELP-DIAGNOSIS TEST
쉽고 정확하게 체크하는
관절 자가진단

어디가 어떻게 아프세요?
본바움병원에서 쉽고, 정확하게 자신의 관절을
체크할 수 있는 자가 테스트를 진행해 보세요!

무릎 자가진단
어깨 자가진단
발관절 자가진단